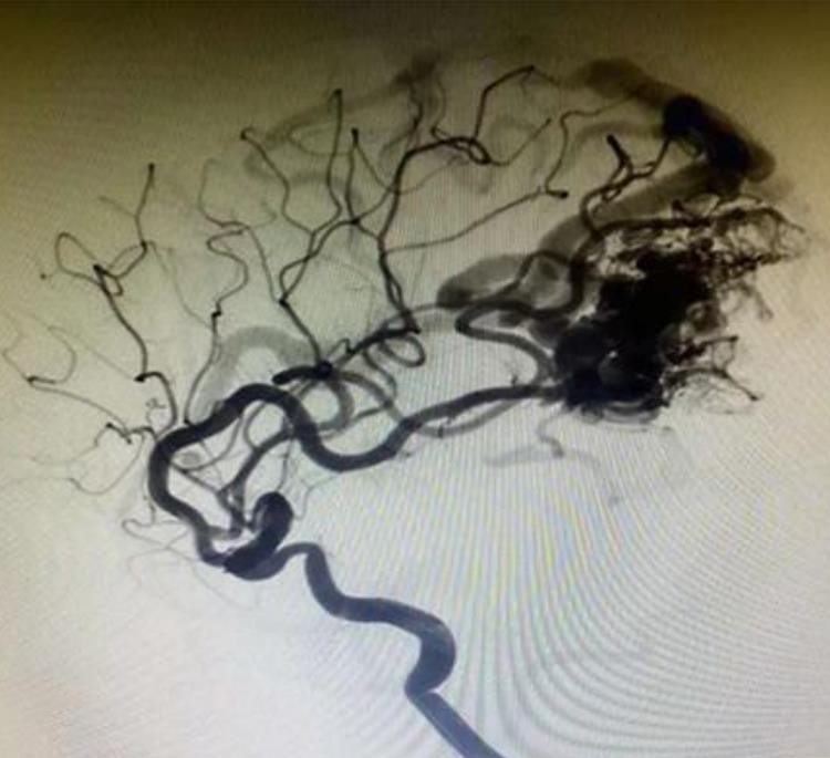
Lava -12 intrakraniālas aneirismu šķidruma embolikas sistēma
Kad lavaTmIntrakraniālās aneirismu šķidruma emboliskā sistēma ir saskare ar asinīm vai jebkuru ūdens šķīdumu, tā virsma nekavējoties sacietē un veidos aizsargājošu plēvi. DMSO emboliskajā līdzeklī atšķaida un izkliedē asinīs, tā ka evoh ietītais tantaluma pulveris tiek izgulsnēts un sacietēts no ārpuses uz iekšpusi. Tajā pašā laikā lava tiek izkliedēta tālu zem injekcijas spiediena. Visbeidzot, tas veido sūkainu embolisko ķermeni embolizācijas stāvoklī.

LavaTmAneirisma embolizācijas sistēma ir izgatavota no nesadalīta materiāla, tāpēc tā ir drošāka un nelipīgāka katetrā.
Tā ir unikāla zemas viskozitātes formula ar pilnu modeļu diapazonu Lava -12, lava -18 un lava -34.
Tam ir labāka izkliede un iespiešanās. un tas var dziļi iekļūt bojājumā un sasniegt distālo trauku.
Tantalum pulveris ir smalkāks, lēnāk nogulsnējies un skaidrāk radiogrāfija, salīdzinot ar konkurentiem.

Piezīmes parIntrakraniālas aneirismu šķidruma embolikas sistēma
● Ievērojiet, vai lavas šķidruma emboliskais līdzeklis sacietē, ja tā, tas vispirms ir jāatkausē.
● Uz vibratora ielieciet lavas šķidruma embolisko līdzekli.
● Pielāgojiet vibratoru augstā līmenī.
● ne mazāk kā 20 minūtes kratīšanai
●, līdz tas tiek izmantots.
|
Produkta kods |
Viskozitāte |
Apraksti |
|
Lava -12 |
12 cst |
Zemāka viskozitāte, vairāk šķidruma, distālajiem mikrovežiem; |
|
Lava -18 |
18 cst |
Standarta formula, vispārēja lietošana; |
|
Lava -34 |
34 cst |
Augstāka viskozitāte augstas plūsmas traukiem. |











